For Patients
Welcome to our practice.
Periodontists are dentists who specialise in the field of Periodontics. This includes the prevention, diagnosis and treatment of teeth and the areas surrounding and supporting the teeth as well as the placement of dental implants.
The Alliance team of dedicated professionals take pride in ensuring that your experience with us is caring, understanding and informative. Our goal is to help patients achieve oral health with a functioning, comfortable and aesthetic dentition.
More information regarding your first appointment, location, parking, payment options etc. can be found by clicking this link
Your first visit
Prior to your first appointment, we will send you a welcome letter with general information on the practice and what you will need to bring with you to the appointment. Please ensure you bring your referral and any x-rays your referring dentist has taken to your initial appointment. Your periodontist will meet with you and discuss your concerns, why you were referred to us, treatment options and should you wish, sedation options depending on your level of anxiety. Fees are also advised prior to treatment.
Further information on the areas we manage can be found below:
Sedation For The Anxious Patient
At Alliance Periodontics we offer a range of sedation options to make your treatment experience more enjoyable. Depending on the level of anxiety, Oral sedation, intravenous (IV) sedation or a general anaesthetic (GA) can be offered. Please speak with your periodontist to discuss which option may be best for you.
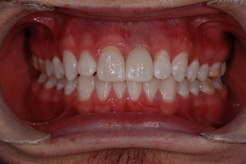
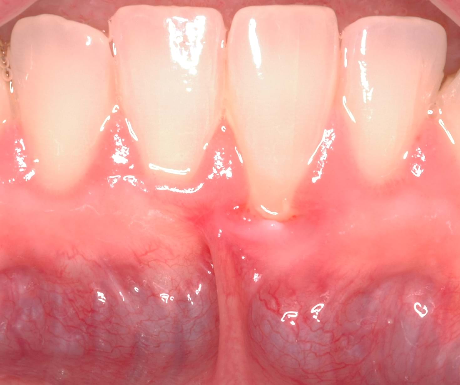
Periodontal Disease
Periodontal disease, also known as gum disease, is a serious inflammatory disorder affecting the gum and bone surrounding a tooth that, left untreated, can lead to tooth loss. Periodontal disease can affect one tooth or many teeth. It begins when the bacteria in plaque (the sticky, colourless film that constantly forms on your teeth) causes the gums to become inflamed. Without removing these bacteria, the infection gets worse, and the body starts to dissolve both the gum and bone around teeth creating a gutter or pocket around the tooth. As part of our examination we measure the depth of these pockets with a probe, to allow us to determine the severity of the disease. As the destruction progresses, it could ultimately lead to the loss of the tooth. Smoking, diabetes, certain medications, pregnancy and puberty, poor nutrition, stress and other systemic diseases can affect the development of periodontal disease. Periodontal disease can also impact on your overall systemic health also. Periodontal disease can also occur around dental implants.
For more information, please visit: https://www.perio.org/consumer/types-gum-disease.html or https://www.anzap.org.au/patient-information/gum-disease-information
Treatment of Periodontal Disease
Conventional Treatment
Following a thorough examination and diagnosis, treatment of periodontal disease begins with the removal of the bacteria around the tooth (plaque and tartar). Small cleaning instruments are used to clean the tooth root surface under local anaesthetic in what is called deep cleaning or scaling and root planing. This creates a clean environment in which the gums can then subsequently heal. In some cases, surgery may be needed to ensure that the teeth are thoroughly clean, allow access to regenerate gum and bone, and create a more maintainable environment. We will also assess how effective your home care is and offer suggestions to improve on this to ensure long-term health. Once the gums are back to health, it is very important to maintain their health through regular periodontal maintenance visits.
Laser Assisted Debridement
Using a dental laser during treatment is less invasive than traditional forms of gum surgery. It can remove the diseased gum tissue, create more room for cleaning, and create a more favourable environment around the tooth during the healing phase. It has the potential to allow some gum and bone regeneration around the tooth. Following the post-operative care instructions are pivotal to successful results. Patients usually experience minimal discomfort and downtime following this procedure and it can be done under local anaesthetic or under sedation as required depending on your level of anxiety.
For more information, please visit: https://www.lanap.com/patients/
Periodontal Maintenance
Periodontal disease can be a recurring. Once the gums are bought back to health following initial treatment, most patient require regular 3-6 monthly maintenance treatment to prevent reinfection and to ensure you are being the most effective with your home cleaning. Using the latest Air flow technology with heated water, we can more comfortably clean your teeth in a fraction of the time. The frequency of periodontal maintenance cleans is tailored to each individual’s situation.
Dental Implants
A dental implant is an artificial tooth root that is placed into your jaw to hold a replacement tooth or bridge. Dental implants may be an option for people who have lost a tooth or teeth due to periodontal disease, an injury, or some other reason. Sometimes we may first need to build up the bone to allow for implant placement. Once the implant is placed, a 2-3 month healing period is required before we refer you back to your restorative dentist to have the final tooth or crown placed on the implant. Our Periodontists can help determine if you would be a good candidate for dental implant treatment.
For more information, please visit: http://www.aos.org.au/Patients/Area/pages.aspx?sid=77 or https://www.perio.org/consumer/dental-implants
Digitally Planned and Computer Guided Implant Surgery
Using the latest computer aided planning and design software we can more effectively work with your restorative dentist to plan your dental implant. Following this, a surgical guide is 3D printed and used during your implant surgery allowing us to replicate the exact position as planned on the computer with your dentist. Guided surgery allows for increased accuracy in implant placement, reducing the possible surgical risks, as well as speeding up the surgical process.
Crown Lengthening
When there is an excess in gum (and sometimes bone) tissue covering the crown of the tooth, the teeth may look short and square. If this is an aesthetic problem, crown lengthening can be performed to create a more natural look to the teeth. By removing the excess gum (and sometimes bone) we can create a more harmonious and aesthetic smile. Similarly, if a tooth is badly broken and there is not enough space between the gum and the tooth to place a new filling, the gum and bone can be repositioned through a crown lengthening procedure to allow your restorative dentist to place a well-fitting and sealing filling.
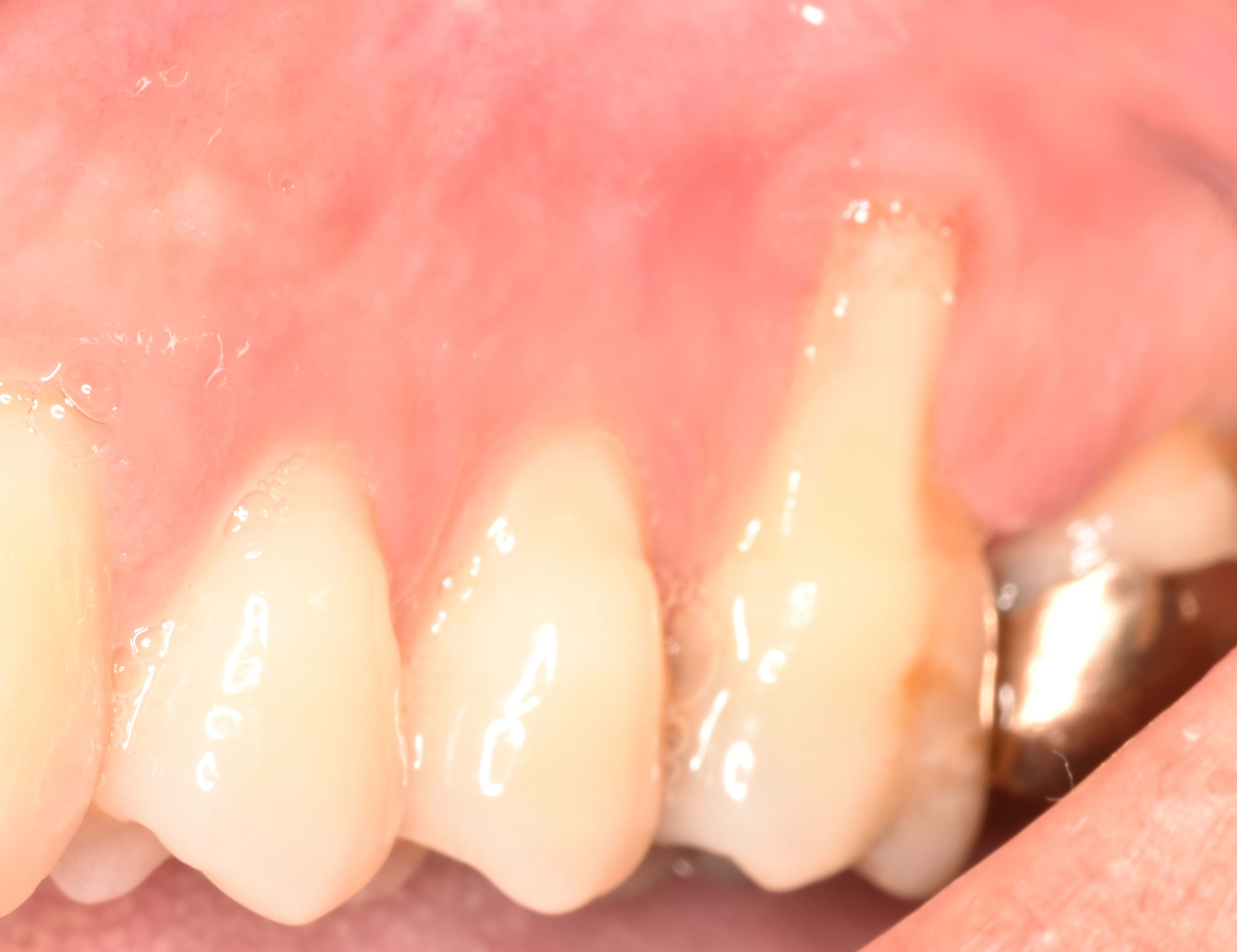
Gum Recession
Gum recession can produce an unaesthetic smile, and allow teeth to be sensitive. In many cases, a gum graft can performed to cover the recession, reduce the risk of root decay, reduce tooth sensitivity, improve aesthetics, and reduce the risk of further recession and bone loss. During gum graft surgery, your periodontist may use gum tissue from your palate or another donor source to cover the exposed root. This can be done for one tooth or several teeth to even your gum line and reduce sensitivity. For success it is important that you follow all post-operative instructions.
Orthodontic Surgery
Frenectomy
At times the cheek and lip muscle attachments (frenum) to the jaws can interfere with the position of the teeth. An orthodontist may request that these attachments be repositioned or removed to allow the gaps between teeth to be closed. Usually this is a quick procedure performed under local anaesthetic commonly utilizing a laser. Minimal post-operative discomfort is usually experienced and patients get back to their daily routine very quickly.
Tooth Exposure
When teeth grow in the wrong direction they can sometimes fail to erupt into the mouth. If this is the case, an orthodontist may request the tooth to be uncovered or exposed and then a small button glued onto the tooth to allow the orthodontist to move the tooth into the right position. Depending on the position of the tooth this can be achieved by using the laser, while in other cases the gum may need to be lifted out of the way to expose the tooth. Most patients experience minimal post-operative discomfort depending on the position of the tooth.













